《弥勒樱花》2021年拍于云南红河州弥勒小城











弥勒小城风景




又一个WordPress站点
《弥勒樱花》2021年拍于云南红河州弥勒小城











弥勒小城风景



来源:慈怀读书会 2021年3月6日 侵删

// 兹心说 //
活着,应该是为了不忘记,为了我们生命的归属以及至亲的人。

吴君如演过很多搞笑的鬼片,其中一部叫《妖妖铃》,口碑一般,但里面有个情节,让我印象很深。
电影讲的是有个开发商,想拆掉一栋老房子,但老房子里有几户人家不肯搬走,做了大家口中的“钉子户”。
开发商赚钱心切,干脆雇了两个人装神弄鬼,想用“老房子闹鬼”的谣言,吓跑这几户人。
吴君如饰演的角色,是个招摇撞骗的“驱鬼师”,拿了钱来给老房子驱鬼。
这几户人把她团团围住:“真的有鬼吗?你能看到鬼吗?”
驱鬼师说:“当然能啦,你们要想看到鬼,还得加钱。”
正在他们争论每人再加多少钱的时候,一个落魄男人忽然掏出口袋里所有钱,扑倒在驱鬼师面前:“你能看到一个女鬼吗?长头发,穿红衣服,她是我老婆,你能不能跟她说……”
男人哭得泣不成声,一句“我好想她”说不出口。
以前我们都怕鬼,见多了亲人的离世,却来越觉得:“好希望这个世上有鬼啊!”

一个朋友从小和父亲相依为命,父亲去世之后,她很长时间失魂落魄。
第8天的晚上,她正一个人吃饭,拿起餐桌上一瓶罐头,怎么拧都拧不开。
这时,她本能地举起罐头,想说:“爸,帮我拧一下。”
话还没说出口,她忽然意识到,父亲已经不在了。
她举着罐头呆了一小会儿,垂头继续拧罐头,没想到,轻轻一下,罐头开了。
那一刻,她伏在桌子上痛哭,因为她相信,在冥冥之中,去世8天的父亲,帮她拧开了罐头瓶。
假如世上有鬼,那么去世了的人,一定舍不得走远。
一个女孩跟爷爷感情很好。
爷爷去世后,她一直等爷爷来托梦,因为别人告诉她,去世的人放心不下,一定会托梦过来。
可是她等啊等啊,等了好多年都没等到。
直到后来,她长大成人,结婚生子。
有一天做梦,她梦见在黑乎乎的山洞里,一群强盗要抢她的孩子。
她在梦里惊慌失措。
这时,忽然身后有人,踩着重重的脚步声,拿着火把走来,把强盗全部吓跑。
她回头一看,火把照亮一张熟悉的脸,她在梦里放声大哭:那是她去世很多年的爷爷。
她说,从那以后她相信——
去世的人可能永远都不会再出现,但他永远都守护在你身边。

美国有部惊悚片,叫《灵异第六感》。
电影里,一个8岁男孩经常看到各种鬼魂,也因此变得敏感孤僻,行为古怪,被同学称作“怪胎”,没有人愿意跟他玩。
小男孩的母亲也不相信儿子能看到鬼,她觉得儿子有心理问题,带他去看心理医生。
然而有一天,她正看车带着儿子,儿子忽然提到去世的外婆。
他说:“外婆让我告诉你,那回你表演跳舞,其实她去看你跳舞了,她躲在后面,你没看到她。”
母亲惊讶地说不出话来,一下红了眼眶。

男孩继续说:“你曾经到她的墓地去,问了她一个问题,她说答案是,每一天。你问了她什么?”
母亲掩面痛哭,因为她问的是:“我有没有让你感到骄傲?”
那个迟来的回答是:“每一天。”

“亲爱的女儿,我真后悔没有告诉你,你是那么优秀,让我每一天都感到骄傲。”

在英国,一个4岁的男孩得了脑瘤,经历痛苦的治疗后,在春天去世。
男孩去世后,母亲悲痛欲绝,她经常恍惚觉得,儿子还在身边。
第二年春天,她去给孩子扫墓,路上忍不住喃喃自语:“孩子,可不可以让妈妈知道你在?”
奇迹发生了,男孩的墓碑上,停了一只漂亮的知更鸟。
知更鸟在英文中叫Robin,而去世小男孩的姓,也正是Robinson。他生前用的枕头上,印的也是一只知更鸟,跟这只几乎一模一样。
母亲小心地张开手,试探着说:“到这儿来。”没想到,知更鸟毫不犹豫地飞落在她手上。
“你好,你真可爱,可爱极了,”她强忍哽咽,问知更鸟:“你是要走了吗?”

知更鸟在她手上啄了一下,仿佛做最后的亲吻,恋恋不舍得飞去了。
无独有偶,美国一对老姐妹,也曾在给母亲去世的第二天,遇到一只红雀闯进厨房。
她们把红雀放生,红雀却怎么也舍不得离去。

它甚至还主动飞回到她们的肩膀上,一点也不怕人。

虽然对于这只红雀,我们能拿出无数种可能的解释。
但姐妹俩还是相信,是喜欢开玩笑的母亲,又回来探望了她们。
念念不忘,必有回响。
世界上究竟有没有鬼?
如果有,那一定是我们对亲人无法忘却的怀念。
这就像《寻梦环游记》里对死亡的重新定义:“死亡不是永久的告别,忘却才是。”
一个人的离开,不过是肉体上无法回应,但在我们看不到的地方,他一定还爱着我们。
而我们要做的,就是不要忘却,代替他来好好爱自己。
而对于活着的人,请像最后一天那样去爱吧。
死亡是世上最大的遗憾,无论去去世的人来说,还是对活着的人来说。
很多问题没有来得及问出口,很多爱意也没来得及说出口。
每当想到这些,我就好希望世上有鬼。
兹心批注:
(1)岁月也许真如神偷,偷走了太多东西,可岁月却偷不走的爱,偷不走我们对一个人的思念和牵挂,偷不走曾经发生过的美好记忆,那是岁月的成全,更是生命的意义的延续。只要有爱,只要还记得,那个人就永远活在我们生命里。
(2)人生除了等待,还有珍惜。因为那些爱我们的人哪怕离去了,也一定希望好好活着,奋力活着,快乐的活着,连同他们那份一起。只要活着,就还有希望。
文 / 乌兰
我自小胆儿小,怕猫怕狗怕虫儿。记得小时候,家里做菜炒乌鱼、蚕蛹这两道菜,别说吃了,吓的我眼睛都不敢看。我觉得这种东西很麻应人。我还怕听“杀人、枪毙、反革命”这类的词,一听就恶心呕吐冒虚汗。有一年小城枪毙“反革命”,我有许多同学跑去刑场观看,我听说了这件事,就好象我在现场一样,立马蹲在路边吐的一塌糊涂,回家还躺倒了三天。我还怕打针怕抽血,见血就晕,见针就抖,见医院就跑。
有一年我去别人家做客,主人养了一只波丝猫,长了一对非常漂亮的蓝眼睛。主人把猫咪当孩子来养,爱不释手抱在怀里。猫咪能听懂主人的话,摇尾巴打滚给我们看。喜的众人争相抱它抚摸,只有我躲的远远的。吃饭的时候,我见这只猫懒洋洋的眯着眼睛晒太阳,便放松了警惕。谁知正吃着饭,它忽然跳到了我的腿上,吓的我妈呀大叫,把饭碗都扔了。还有一次去妹妹家看藏獒,这只大狗栓在笼子里,别人都不怕,只有我躲在院外的门缝里偷看。可偏偏这狗专盯着门缝里的我。我越看越怕,大狗越看越眼红。忽然它朝我大吼起来,吓的我撒腿就跑,三魂丢了两魄。

我就是这样一个胆小的人,却在女儿走后养了一只白博美。并和小狗相依为命了两年半,直到出了意外……
这只白博美,是在我人生最灰暗的时候来到我身边的。那个时候,我心情糟糕到了极点,万念俱灰,生不如死。终日浑浑噩噩,如同行尸走肉。妹妹们看出了我的消沉,为了让我分散注意力,精神有所寄托,建议我养个宠物狗。开始我没同意,我怕脏,怕狗,再说也没心情。一天,妹妹没经我同意就抱来一只毛白如雪的小狗,她说是济南战友送的,问我可否喜欢?
第一眼看见这只小狗,我的心猛的一颤,因为它满眼的惊恐与无助,瞬间让我想起女儿生病时的样子。我的心立刻被软化,母性情怀再次苏醒。我伸手接过这只小狗狗,抚摸它瑟瑟发抖的身子,想让它安静下来。妹妹告诉我,这只小狗出生才50天,是纯种博美。可能由于害怕,它把自己蜷缩成一团,像一个毛茸茸的圆球,只露出一对黑葡萄似的眼睛,怯怯地、可怜巴巴地望着着,是那样的惹人爱怜。我没有理由拒绝,伸手接纳了它。或许冥冥中,我与狗狗有这么一段奇缘吧。
我家小宝
小狗狗的到来,让我死水一潭的生活有了生机。每天我都忙的不亦乐乎,给狗狗梳毛,洗澡、清理卫生,擦眼药水,剪指甲等让我忘记了忧愁。看着小狗狗一天比一天活泼,越来越漂亮,我心里乐开了花。可是好景不长,一个月后,小狗狗因水土不服,生了严重的病,竟奄奄一息了。急的我直流眼泪抱着它去看兽医。医生检查后说,纯种狗不好养,非常娇贵,救不救的活,就看它的造化了。医生开了一种药放进针管里,让我每隔半个小时,灌进小狗狗的嘴里,如果有效果就能活,否则无能为力。
把狗狗抱回家,看着命悬一线的小东西,我心急如焚。我把妹妹喊来,遵医嘱,轮流替换,抱着小狗狗,用体温来暖它,灌了三天三夜,硬是从死亡线上把小狗狗拉了回来。经过这么一轮生死折腾,我更加爱护这个小生命。在我的精心照料下,小狗狗一天比一天有精神,一天比一天活泼可爱。因为生命来之不易,我给它起了个名字叫小宝。虽说名字俗了点,但却是我爱它的心。就这样,我和小宝开始了相依相伴的生活。我行我卧它都不离我左右,我高兴时,它摇头摆尾在脚下撒欢,我伤心流泪时,它给我舔泪花。
我家小宝
小狗狗的到来,使我有了时间概念,每次外出如果超过半天,我就会急着往家赶。因为家里有个让我牵挂的小狗狗。以前常听人说:狗通人性,我曾不以为然,可自从自己养了狗狗,才真正体会到了这一点。每次带它散步,它都是一步一回头找我,有一次我故意躲起来,它不见了我急的团团转。更有意思的是,当我和妹妹们说笑时,它会突然跳起来朝着妹妹吼,原来它以为别人欺负我,它要保护主人呢。
还有一次我从外面回来,门口静悄悄地,这很是令我奇怪。进的门来,发现花盆摔成了两半,我在屋里搜了一圈也不见小狗狗的影子,喊它也无应答,这就更奇怪了,它躲在哪里了呢?后来,我蹲在地上找,才看见它藏在沙发的后面,只露着白尾巴,它以为把头藏起来,我就找不见了。原来狗狗知道自己犯了错,才躲起来的。开始任我怎么喊,它就是不出来,我只好换了腔调喊,它才慢腾腾的先探出头来瞧瞧,发现我的脸色不对,立马就缩了回去。我只好和颜悦色的和它说话它才出来了,出来后呢,便紧靠墙边站着,低眉顺眼不敢看我,像一个受气包的样子,逗的我哈哈大笑。

每天我都会在太阳下山的时候牵着它去散步。走在路上会吸引无数的目光注视,同时也引来同类小狗狗的追逐。而它仿佛对这一切都不屑一顾,仍迈着轻快的小碎步,骄傲的昂着头,傲视群雄的样子极逗人。有许多陌生的爱狗人士走到我眼前套近乎,要求给它“配对”,真是好玩极了,我经常弹着它漂亮的黑鼻头说,你真能“招蜂引蝶啊”。
要想狗狗招人喜爱,主人就不能懒,要勤打理它,要有爱心。宠物宠物嘛,就是要人来宠着它。可能是纯种狗的关系,它吃的很少,每顿只吃几粒狗粮。而且还特爱干净,我给它买了一个柳条编的窝,又买了一个小铁笼。窝里铺上白毛巾,铁笼里也铺块白毛巾,白天,它爬在铁笼里的白毛巾上睡觉,晚上就睡在小窝里。如果我把毛巾洗了,它宁肯站一天,也不爬下。大小便在托盘里从不踩,有时抬着脚跳开。它还特乖,从不吵我。我喜欢睡懒觉,它也乖乖的爬在筐子里不动,我什么时候起来,它就什么时候起来,我咳嗽一声,它立马伸出头来看,见我没动静,它就缩回头乖乖的等。

小狗狗刚来时,怕生病,我都把它送到宠物店里去洗澡,洗过几次后,一是嫌贵,再也嫌洗的不干净,我就试着自己给它洗澡。这一试就一发不可收。我乐此不彼起来。每次我都花费一个小时的时间,耐心细致的给它清理。我会用电吹风一缕缕吹干它的毛发,然后用酒精擦拭它的耳朵,再用盐水擦拭它的鼻子嘴巴。给它滴上眼药水,最后修剪趾甲。我自己不舍得买贵的洗发水,舍得给它买。小狗狗乖乖的闭着眼睛享受着我贵宾式的服务,它在我的手里变得越来越漂亮,那蓬松的大尾巴象一朵盛开的喇叭花,黑黑的眼睛象一对大葡萄闪闪发亮。我把它打理的香喷喷,人见人爱。妹妹说,姐,你可以当宠物美容师了。这话我爱听,夸别的都没有夸我的狗狗令我受用。很满足了我的一颗虚荣心。

如此的爱宠物可能与我心理因素有关,前些日子看报纸,看到一个报道说:极度沉浸于爱宠物的人有心理疾患。我想这话对我来说是对的,像我这样的人,心理早已不健全了,精神一度崩溃,是小狗狗的到来,改变了我的生活,让我有事情可做,来驱散心灵深处的悲哀。我把它当成了替代品,它当成了精神寄托,当成了自己的孩子来养。它和我形影不离,陪我说话,逗我开心,给我慰藉,给我愉悦。它是我寂寞生活中的伴侣。陪我度过每一天,我怎能不爱它呢?

狗是通人性的动物,你爱它,它就依恋你,与你形影相随,不离不弃。当我心情不好时,一看到它那可爱的模样,所有的烦恼都抛到九霄云外了。它带给我的是心灵的愉悦和快乐,是一种妙不可言的感受。以前我生活懒散,不愿出门,不愿见人。自从有了小狗狗,我整个人都变了,变的热爱生活了,人也精神了许多,也愿出门了。我牵着小狗狗到南山公园散步,山间小路绿草青青,每株草尖上都滚动着新鲜的露珠,小狗狗在露珠上打滚,浑身湿漉漉的,再抖落一身的水珠,撒欢奔跑,我也跟着它跑,那漫山遍野的翠绿从我眼前飘过,微风轻拂,别提有多惬意了。

如果不是出了意外,这种生活会继续,我会和小狗狗相伴到老。可天有不测风云,一场意外令我猝不及防,让我失去了心爱的小狗狗。那天,是五一节,我带着它去山上采黄花。平时山间道上没有汽车的影子,可是那天突然就钻出一辆飞快的汽车,我还没来的及反应,汽车就从小狗狗身上轧过去了……

事后,我陷入深深地自责后悔中,为什么不牵牢它,为什么那天要带它出来?可是一切都晚了,我心爱的小狗狗就这样离我而去。生活总是给我沉重打击,总是夺走我的最爱,让我再次面对孤独。后来我想,可能我与小狗狗的缘份就是这么浅吧?老天可怜见,让它来陪我走一程,陪我度过最艰难的日子,等它的使命完成了,所以就走了。(写于2008年秋,修改于2021年春。)
这是我养的第二条小狗——日本银狐
(后记:小宝走后,我思念成疾,大病一场。后来经不起思念,我又养了一条日本银狐,这条小狗伴了我有一年半的时间,因为经常外出没人看管,只好忍痛送了人。一年后我去新主人家看小狗,谁知它还记得我,叼着我的袖口不放,撒欢往我身上扑,然后我跟新主人说话,它就爬在我对面,不错眼的看我,我发现它的眼里有泪花。新主人说,刚牵它来时,小狗站在阳台上,叫了三天三夜,不吃不喝。听了这话,我的心碎了……)
来源:本篇内容及图片均先选自网络 侵删
中华饮食的传承和发展,离不开文化的承载,而名人对饮食的影响尤为广泛。
说起博山菜,赵建民教授主编的《中国鲁菜文脉》中有描述:“博山菜在鲁菜中,是最富有地域文化特色的菜式系列。博山不仅餐馆、饭庄菜肴制作精美,民间菜肴、风味小吃的制作也同样丰富多彩、别具一格”。博山菜之内涵,正如饮食大家对鲁菜所言:讲究内涵中和的底蕴,追求豪放大气的风格,彰显清香脆嫩、咸鲜适中的特色。“炸三芽”便是地域传承性极强的素食类时令佳肴。
“炸三芽”在博山菜中是指炸香椿芽、炸薄荷芽、炸花椒芽。此三种芽菜,皆属野生类的烹饪原料,中国是世界上唯一以香椿入馔的国家。“三芽”春鲜之最,最受博山食客的青睐,尤以老一代的博山吃客为甚,到了时节都爱这一口。博山菜亦并非“烧烤燕耳,一应俱全”,“炸三芽”虽原料普通、本地自产,但凭借博山厨师的精湛技艺或家庭主妇巧手烹制,如今亦成为博山人把普通食材烹饪成美味菜肴的代表之作。
炸香椿芽
香椿此味,乃是鲜中之鲜,初春之佳肴,是山东著名的植物食材,可挂糊油炸、腌咸菜、拌豆腐、煎鸡蛋等。香椿以石灰岩山地背阴坡所生为佳,其细嫩红芽为上品;尤以博山禹王山北麓的夹山(夹桑)所产最为著名,其芽头粗嫩短壮、茎叶鲜嫩、异香浓郁。这个地方嵯峨峻拔、涧谷幽邃、冬冷夏清,故又有博山“小关东”之说。其地势较高,冬天温度低、过冬时间又长,所产的香椿芽上市较晚。
炸薄荷芽
薄荷,属烹饪原料,是以春天的薄荷芽入馔,其味道清凉、沁人心脾。在博山,很多靠近河沟的湿地均有野生的薄荷,博山人好养花种草,在家里也有种植,除了春天的嫩芽用来炸着吃,到了夏季,用其制作一道博山的凉糕,更是必不可少的解暑“翘头”。炸薄荷在其它菜系中亦有制作,但在山东就成了一道著名的鲁菜。而在博山更有两种吃法妙处:一是咸鲜味的,二是撒白糖吃甜,要的就是清爽和味、口感更佳。
双拼:炸花椒芽炸香酥豆腐
花椒芽指的是花椒的嫩芽,其味道鲜美,于麻酥中带着山野清香,绝对是美食。所谓“一束枝芽一穗子”,掐了花芽的枝杈,当年是不再重新发芽的,只有等到来年才能发出新芽,故有“摘了椒芽气死树”的民间传法,因而自古以来的种植者是舍不得摘椒芽吃的!博山西山里的花椒树较多,一般种在地头堰边,产量不大,所以花椒芽很少有用来作为食材入馔的,自然也就成了博山的一种特产,所谓物以稀为贵,花椒芽便成了一种颇名贵的季节性食材。如果仔细的去品尝并无好的吃头,只不过是淡淡的麻香和脆嫩的质感体验,有道是“凡名吃,需多做描绘,亲涉其境”便是说的如此了。
说起来,炸花椒芽在博山还留下了一段名人佳话:上世纪九十年代初,正值清明节后,著名艺术家韩美林先生、小说《高山下的花环》作家李存葆先生,在时任济南南效宾馆总经理王克勤的陪同下,参观山东省陶瓷公司。中午在公司的小餐厅用餐,因王克勤先生当时即是济南南郊宾馆总经理又是著名的鲁菜专家,说到吃什么?用博山话讲“这么大的官啥好东西没吃过”,当时参加接待的还有原办公室主任李昌永,经和公司食堂“班长”孙东泽商议,除了上几道博山菜之外,由孙东泽就近取材,到孝妇河对面的“大街”集上,买了几两鲜花椒芽;用蛋清生粉糊炸了一大盘花椒芽上桌。当时陪同用餐的是公司书记韩其诰,当韩美林大师品尝过炸花椒芽后,问陪餐的公司领导:”这是什么菜?”
李昌永主任告知:”是花椒芽,掐的花椒树上结花椒的嫩芽”,韩大师品尝后连连夸赞“好吃、好吃、没有吃过!”,餐后韩大师欣然为接待的服务员、厨师现场题字,以表谢意!

如今许多养生哲理说“吃油炸的东西不好”。且不说那些国际大牌食品,依我看来,在应景的时节,用上好的花生油分别炸上一盘香椿芽、薄荷芽、花椒芽是再好不过的美食美味。远比那些红油赤酱、无辣不欢的所谓“时尚美食”要健康不知多少倍。清袁枚《随园食单·须知单》中亦有言:“所谓四时之序,成功者则退,精华已竭,褰裳去之也”。万物生长,四时有序,盛时已过,精华已尽,光彩不再。孔子亦曾告诫我们“不时,不食”就是这个道理,时令菜也是“运气菜”。食物一要讲究“气”,一要讲究“味”。因为食物是由气味组成的,而食物的气味只有在当令时,即生长成熟符合节气的食物,才能得天地之精气。随着时代科技的发展,冰箱的普及和大棚反季蔬菜的流行,能遵守“不时,不食”者也成了少数,虽然日常食材随时可以满足食欲,但终究缺了一份期待之中的美味。
炸制香椿芽
炸货者,应按其炸法选用适宜的粉糊,这才符合烹调之术、相得益彰。现如今饭馆的大厨、酒店的名菜,动辄就是泡打粉、脆炸糊,变成了“万能”糊,将看似品相、飘色极佳的“炸货”,怪异的香味已经完全遮盖了食物的本来味道,怎么吃也不是最原始的真正菜香味道。
在博山“炸三芽”常用的有两种挂糊方法:一是家庭炸法,用的炸糊一般是发面糊,用面粉和“老面头”发成的面糊,既方便又有面香的质感与酥脆,现在用鲜酵母或酵母粉做炸糊也是不错的选择;二是若按博山“聚乐村”的传统吃法,仅听名字就带着几分文雅:雪花春芽,其最精典的炸糊是用鸡蛋清和生粉合成的雪丽糊:是将鸡蛋清放在碗中,用筷子把鸡蛋清朝一个方向打、打至筷子能在蛋清中立起来、才算将糊打好。
用酵母粉与面粉糗的炸糊
博山“炸货”按当地传统,要用花生油炸,这样炸出来的食物气味芬芳、滋味可口,还易于食物的消化吸收。当地的老人管花生油叫“果油”,花生长于滋养补益,有助于延年益寿,所以自古民间又称“长生果”,“果油”即是简化的叫法。当今,许多饭店用色拉油(精炼大豆油)替代花生油,究其原因是价格低廉,理论上讲气味和口感不逊于花生油,看上去也能保持菜肴的本色本味,但是真正两者相比而言,还是用花生油炸出来的食物香味更加的浓郁芬芳。
春天来了,万物复苏,又到一年一度的踏青春游的时光。3月23日上午9点,合肥牵手团队带领30多位同命家人在合肥植物园开展了“畅游植物园 户外大联欢”暖心户外愉悦活动。

“东园垂柳径,西堰落花津,物色连三月,风光绝四邻”,走进园区,穿过两旁合肥市市树广玉兰,映入眼帘的满园景色,不由得让人想起唐代诗人王勃的《仲春郊游》里的诗句,让久居楼宇的我们瞬间产生了穿越朝代的感觉。
前几日淅淅沥沥的小雨洗尽了尘埃,空气格外的清新,沐浴着暖暖的阳光,行走在怱怱草坪上,不由得不让人心旷神怡精神气爽。当来到园内一片空旷地,开满五颜六色的郁金香一下子就吸引了我们。这块大约有五、六亩的空地,被工人们用细竹圈起,拢成十几块形状各异的条形地块。千姿百态、赤橙黄绿青蓝紫的郁金香怒放盛开,展示着满园春色的情景,此时此景哪能不留下几张靓影呢,家人们纷纷在花丛边摆出各种造型,与郁金香争芳斗艳,咔咔地按起手机……是的,绚丽多彩的郁金香翻过漫长的凋零期,在阳光明媚的春天,顽强舒展不屈的身体,绽放出耀眼夺目的光彩。这不正是家人们身处逆境却依然向上的真实写照吗?

植物园占地70多公顷,共分为水景园、梅园、竹园、玉兰园等十几个园区。园内共有2000多种类花木。家人们根据各自的喜好,三五成群,顺着指示牌,分散游览。有的去水景区,看涓涓溪流亲吻晶莹剔透的鹅卵石;有的去梅艺园,观古风建筑,赏盆景艺术;有的沿着小径,步入玉兰园,看花开富贵的红紫白色玉兰花;进樱花园,看挂满树枝小白花的日本晚樱




有的拾阶而下,钻进不知名的花木丛,贪婪地吸允着天然氧吧,更有甚者,步行十多分钟径直走到北边小岛去一览冷水亭的风貌……

很快就到了中午时分,根据活动安排,户外联欢开始了,大家陆陆续续地来到一片有林荫的空地,围成一圈,在手提音箱的伴奏下载歌载舞。朱朱浑厚的嗓音开场,蓝天、携手为明天、君子兰、周周、飞翔的大鹏等家人纷纷拿起麦克风,一首首动听的歌曲,引来阵阵掌声。春暖花开、米兰、兰姐、顺其自然等步入中央,跟随音乐轻盈地跳起慢三、慢四。趁着空当,团队为家人们发放水果和食品,算着午餐。轻松欢快的热闹场面也吸引了不少围观的游客,很快就互动起来,有的游客也拿起话筒,有的游客步入舞池……虽然并不相识,因为满园的春色给大家带来的愉悦心情,不知不觉中就融合到一起。

只有走出来,就能融入到社会。家人们唱的最多的都是关于父亲母亲的歌曲,每个人都很投入,唱出对去世父母的思念,唱出对健在父母的挂牵。我知道,唱歌入心,因为父母是我们赖以生存的精神寄托……
相聚总是短暂,一晃就到下午三点,虽然有些意犹未尽,但根据活动安排还是宣布结束,大家依依不舍,相互道别,期待下一次的相聚。
通过这次“畅游植物园 户外大联欢”活动,让大家饱览了春色美景,留下了一张张值得回忆的照片,缓解了低落的情绪,对走出阴霾融入社会起了一定的推动作用,更激发了家人们对美好生活的向往。
最后感谢北京尚善公益基金会对本次活动的大力支持,感谢安徽益和公益服务中心蒋倩主任和社工汪静的全程陪伴,并感谢她们为本次活动提供的口罩和部分食品。
作者:唱不完的情歌 侵删
2021年3月26日
本文根据真实病例改编
老李今年50了,跟大多数中年男性一样,过着上有老下有小、不上不下的生活,没大富大贵,却也过得有滋有味。
就是这两周,老李总是觉得眼睛老也睁不开。倒也不是困,就觉得眼皮子没力气。本以为是自己睡得少,或者累着了,多休息休息就好了。可眼看着症状越来越严重,一点没有好转的迹象,老婆也催他去医院赶紧看看。

这天,老李找了离家最近的一家三甲医院。
到了导医台,老李告诉护士,自己眼皮子耷拉下来了,尤其是右眼,都快睁不开了,只剩一条缝,离远了看还以为自己是岳云鹏。
导医的护士也算比较有经验了。
这种眼睑下垂,可能是先天的,大多数是后天的。后天的原因又包括眼睛本身的病变(眼部手术、创伤、隐形眼镜、感染、肿瘤)等,或者脑子里有肿瘤压迫颅内神经,还可能是重症肌无力导致的眼睑下垂。
于是,导医让他先去神经内科看看。
神经内科的医生做了简单的体检,发现眼睛本身没什么问题,也怀疑是重症肌无力。于是开了抗乙酰胆碱受体(AchR)抗体的检测。
人体的肌肉收缩由神经控制,神经和肌肉相连接的结构叫做神经肌肉接头,神经末梢会释放乙酰胆碱(Ach),乙酰胆碱到了肌肉接头的乙酰胆碱受体(AchR)会刺激肌肉发生去极化和收缩。
神经肌肉接头
有些病人会产生抗AchR抗体,导致乙酰胆碱无法结合受体,从而无法产生收缩运动,这就是所谓的重症肌无力(Myasthenia gravis, MG)。注意,不是鸡无力,是肌无力。

果不其然,老李的抗AchR抗体明显升高,这基本上可以确诊为眼肌型的重症肌无力了。
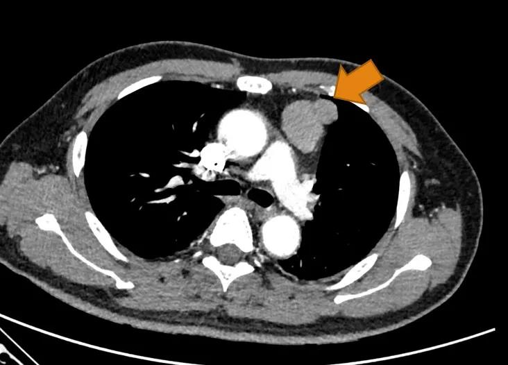
神经内科医生留了个心眼,还让老李做了个胸部CT。老李心生疑惑,说我好好的做什么胸部CT,不过还是听医生的话做了检查。
好家伙,胸腔里有一个直径3.6公分的肿块。
箭头所指为胸腺瘤
“你去胸外科吧。”神经内科医生对老李说道。
老李也因此落到了孙医生的手里。
孙医生在门诊看到老李的时候,他眼睑下垂已经很厉害了,于是决定把老李收进病房,考虑进行手术。
这种病人并不算罕见,大概10%的重症肌无力都合并有胸腺瘤,孙医生又给老李复查了增强CT,胸部磁共振,都提示是胸腺瘤。不过遇到这种病人还是要当心一点,孙医生曾经遇到过几例非常凶险的情况。
各种指南都建议把肌无力症状改善之后再做手术。神经内科又来了,给老李会诊之后,开了溴吡斯的明。
这什么药?怎么这么拗口?
这个药,跟大名鼎鼎的敌敌畏一个原理,都能够使乙酰胆碱增多,只不过一个是毒药,一个是救命药。
没错,就是那个敌敌畏
老李吃了药之后,果然眼睛都大了许多,从岳云鹏一下变成了小燕子赵薇,老李媳妇也很高兴,老李再也不能在让他洗碗的时候装眼睛睁不开了。
过了两周,老李在网上问诊复查,跟孙医生无意中提到一句,“眼睛好多了,就是前两天走路的时候向前栽了一下,差点栽个跟头。”
听到这里,孙医生心里咯噔一下,心想坏了,“老李,赶紧再去神经内科就诊。”
老李觉得无所谓,但老李媳妇从上次之后就对孙医生无比信任,硬把老李拉到了医院。
到了神经内科,医生一看,这情况不妙,赶紧收进病房。原因是老李之前是眼肌型的肌无力,仅仅表现为眼睑无力,现在无意识向前栽倒,说明肌无力发展到了全身,导致身体乏力,变成了全身型重症肌无力。
全身型肌无力严重的时候可以出现全身肌肉无力,甚至累及呼吸肌,导致呼吸衰竭。
神经内科的医生们给老李加大了药物剂量,但效果不明显,决定使用丙球冲击。丙种球蛋白是一种免疫球蛋白,冲击治疗可以抑制重症肌无力患者抗AchR抗体的产生,从而缓解肌无力症状。
丙球用完之后,老李症状没改善,眼睛反而完全睁不开,吃饭也没有力气了。就在医生们准备换治疗方案的时候,
意外发生了。
老李突然全身抽搐,神志不清,全身冒冷汗,血压一下子升高到了220/120mmHg,是我们正常人血压的两倍,氧饱和度也降低到了正常下限90%,情况非常危急,随时可能心脏骤停,甚至死亡。
医生们紧急抽了动脉血,做了血气分析。好家伙,二氧化碳分压达到了104mmHg!pH只有7.0!正常人二氧化碳分压最高也就47mmHg,这病人已经严重的呼吸性酸中毒,或者说是二氧化碳中毒了。
哪种酸碱失衡?
下病危通知!转ICU!插管!
医生们有条不紊地抢救着老李,老李媳妇在ICU门外已经吓坏了,心想着我老公好好的,之前就眼睛睁不开,这怎么就要没了?然后忍不住哭了出来。
医生们没空解释,除了插管呼吸机辅助通气,他们还要把老李的生命体征搞稳定,一堆工作要做。孙医生听说老李突然病危,也赶紧来到ICU帮忙。
“肌无力危象。”孙医生在下楼去ICU的时候,已经想到了这个词语。
肌无力危象是重症肌无力病人最最严重的情况,是肌无力累及呼吸肌之后导致的呼吸衰竭和全身严重并发症。
ICU医生们讨论之后决定给与甲强龙(激素)冲击,连续冲击之后,老李的病情也逐渐稳定下来,5天之后也终于拔除了气管插管。
本以为能顺利转出ICU,结果没想到刚拔掉插管,老李又喘不上气了,还有大量的痰,他的肺部又感染了,真是够折腾的。
ICU医生重新给他戴上无创呼吸机,孙医生也经常来看他,又帮他吸痰,终于在半个月后转出了ICU,又在半个月后顺利出院。
孙医生再看到老李的时候,已经是2个月后了,老李这次是来切掉胸腔内的胸腺瘤的。孙医生仔细检查之后,觉得手术时机已经到了,终于帮他切掉了胸腺瘤。
手术很顺利,还好没再出岔子。老李出院的时候,感慨万千,自己也算是鬼门关里走了一遭。还好有胸外科医生、神经内科医生、ICU医生的通力协作,自己才捡回一条命,不然真的要小命不保,想给老婆洗碗都没机会了。
孙医生经历了这一场堪称“教科书式”的病例,也是觉得收获不少,于是把这个病例整理了一下,讲给了年轻的医生,让他们涨涨见识、学学知识。
歌 曲 简 介:
《心存相信(when you believe)》这首歌曲为1998年梦工厂动画片《埃及王子》的主题曲,创作灵感来自于动画片主角回忆。由当红的天后级明星玛丽亚 . 凯利和惠特妮 . 休斯顿共同演唱,此前她们并没有合作过,并因此成了很好的朋友。曲风为灵魂音乐与流行音乐的融合。正因为玛丽亚 . 凯利和惠特妮 . 休斯顿顿富有激情的二重唱和歌曲本身具有的感染力和号召力,使得它成为了脍炙人口的歌曲。并因此获得了1999年奥斯卡最佳原创歌曲奖及金球奖最佳原创歌曲奖提名,在全美及欧洲都获得了不错的销量,并且歌曲流传度极广,深受人们喜爱。
两位超级大腕女歌手的天籁之音告诉大家,只要心存相信,就一定会创造奇迹。生活中遇到困难时,哼一哼这首歌,跳动的音符直击心灵最深处,你将浑身充满力量!
歌 手 简 介:

玛丽亚·凯莉,是美国著名天后,和惠特妮 . 休斯顿等五位歌手并称为跨世纪天后,有着辉煌的音乐史记录。因其2亿多张的唱片销量和无数的音乐榜单记录,以及5个八度的高亢音域和洛可可式的演唱技巧以及标志性的海豚音闻名于世。她是音乐史上拥有最多告示牌冠军单曲的女歌手,同时也是拥有最多告示牌冠军单曲的独唱歌手。歌曲十八次荣登告示牌单曲榜榜首。共有79周在告示牌流行榜上排行第一。
惠特妮·休斯顿是位曾多次获得格莱美奖的超级流行天后,她以强而有力的嗓音、一字多转音的感染力与宽广的音域为世人所熟知,所被誉为美利坚之声。惠特妮在全世界有超过一亿七千万的销售纪录。她也是首张专辑销量最高的女歌手和单张专辑销量最高的女歌手。根据吉尼斯世界纪录,惠特妮也是获奖最多的女歌手。美国时间2012年2月11日,惠特妮 . 休斯顿在比弗利希尔顿酒店被宣布死亡,死因是心脏病发滑入浴缸溺水而亡,终年48岁。
歌 词 欣 赏:
Many nights we pray
多少个夜晚我们在祈祷
With no proof anyone could hear
并非每个人都能听见
In our hearts a hopeful song
我们心中的希望之歌
We barely understood
自己也不能理解
Now we are not afraid
现在我们并不害怕
Although we know there’s much to fear
虽然我们知道未来有许多艰难险阻
We were moving mountains along
我们负重已久
Before we know we could
只是原来并不清楚我们的能力
There can be miracles
奇迹将会出现
When you believe
只要你肯相信
Though hope is frail
希望虽然渺茫
It’s hard to kill
却不可磨灭
Who knows what miracles you can achieve
谁知道你会创造怎样的奇迹
When you believe
只要你肯相信
Somehow you will
你就会
You will when you believe
只要你肯相信,你就会创造奇迹
In this time of fear
在害怕的时候
When prayer so often proves in vain
当祈祷变得苍白无力
Hope seems like the summer birds
希望就像夏日里的鸟儿
Too swiftly flown away
悄然飞逝
And now I’m standing here
现在我伫立于此
My heart’s so full I can’t explain
心中充满无限莫名的希望
Seeking faith and speaking words
寻求信念
I never thought I’d say
说出从未说过的话……
There can be miracles……
奇迹将会出现
Take it always up and when you ask
鼓起勇气扪心自问
And it is easy to give in to your fear
人很容易向恐惧低头
But when you’re blinded by your pain
当你被痛苦蒙住了双眼
Can’t see your way safe through the rain
在风雨中看不见未来的出路
Thought of a still resilient voice
想一想回荡在你耳边的声音
Says love is very near
它在说,爱就在你身边
There can be miracles
……奇迹将会出现……
Though hope is frail
尽管希望渺茫
It’s hard to kill
却难以抹杀
Who knows what miracles you can achieve
谁能知晓 你可以实现什么奇迹
When you believe somehow you will
只要你相信 你或许就会
Now you will
你现在就会
You will when you believe
只要你相信 你就会
You will when you believe
只要你相信 你就会
You will when you believe
只要你相信 你就会
Just believe
只要相信
I believe
我坚信
You will when you believe
只要你相信 奇迹就会实现
来源:本文由王奚选编自网络
每个人的心中都有一份古镇情怀,烟雨朦胧的水乡,宛若置于画中的乌篷船,岸边随意探出头的枝丫,都带着春天的气息勾勒出眼前这般诗情画意。
而又不止于江南,还有着很多你未曾踏访过的古村古镇,或许并不耳熟能详,却依然保持着那份最原始的古朴,诗词里的小桥流水人家,至今还存在于现实之中。等待春暖花开,再去寻觅古镇深处,景不会变,情也依然。

05 贵州・镇远古城
“飞檐流云墨如黛,曲水涵清影似纱”

曲通幽径,碧水流淌,蜿蜒的青山近在眼前。整个古城都像是一条流动的碧绿带子,水灵灵的,波光粼粼的倒影中,看得人心中也豁然敞亮。


流转于碧色的古城,开阔的街道不似一般古镇那般狭窄。待到夜晚时分,河岸两侧灯火通明,不同于白日的宁静古朴,这座古城又是另外一番景象,但却并不喧闹,晚风微醺恣意漫步,是属于小城的独特夜晚。


景 点 推 荐:
镇远自汉高祖五年设县开始,已有2200多年历史,是云贵高原上历史最悠久的名城。镇远的母亲河舞阳河,以S形穿城而过,形成一幅八卦图,故镇远又被称为八卦古镇。由首尾相接的三条街道构成,街道两边客栈、餐馆和店铺云集。特色小吃琳琅满目。古镇西侧有新大桥,东侧的祝圣桥是镇远古城的标志性建筑,当地人称之为老大桥。登上古城边的玉屏山,还可以俯瞰古城和舞阳河全景。古镇最大的特色之一也是夜景。
门票: 免费 (大型歌剧院,120元 /人)
船票:水上游船大船80元/人,小船60元/人 摆渡过河0.5元/次(18:00后1元)。
营业时间: 全天开放
青 龙 洞

镇远青龙洞是全国为数不多的儒道佛三教合一的典范之一,于1988年被列为全国重点文物保护单位
景区开放时间:9:00—17:30
门票价格: 60元/人
天 后 宫

镇远天后宫又称福建会馆,始建于清代,是为纪念海神妈祖和作为福建同乡会馆而建。天后宫位于镇远县㵲阳镇新中街,坐北朝南,背依石屏山,前临㵲阳河,由山门、正殿、戏楼、东西两厢、西院、东院(膳房)、梳妆楼等建筑组成,各单体建筑均为小青瓦顶穿斗式木结构。占地面积2372平方米,建筑面积1200平方米。现存的天后宫,是经过咸同年间的战火之后,镇远知县林品南率福建籍商人捐资于同治至光绪年间重建。
景区开放时间:全天
门票价格:免票
石 屏 山

石屏山是镇远古城北面的屏障,与青龙洞隔河相对,也是古城制高点。石屏山顶可以望尽镇远古镇的全景,狭长幽深的古巷尽收眼底,更可以看清镇远古城的八卦形状。柔美蜿蜒的舞阳河穿城而过,苗疆长城盘踞在山上,青龙洞建筑群建筑风格各异。石屏山有东西二条上山路相通,一是从祝圣桥头的登山道登上玉屏山,在早晨八点前和下午五、六点后可以免费进入;二是从古城步行街里面的“四方井巷”或“复兴巷”穿行至上山道。
景区开放时间: 8:30-17:30,夜间不开放
门票价格:30元/人
和 平 村

在抗日时期,我国曾设立了两个日军俘虏的管教收容地,一个在陕西省西安,另一个就是在古城镇远的和平村了,它是“在华日本人民反战同盟和平村工作队旧址”的简称,也就是第二日服收容所,位于镇远县城和平街的南端,是一个风景怡人的情景小村,村里的和平鸽环飞,属于和平的气息围绕在这个小镇中。
景区开放时间: 全天
门票价格:免票
住 宿 推 荐:
格桑客栈连锁(镇远古镇店)
推荐理由:夜晚可以观看舞阳河夜景。
客栈地址:镇远县河坝街
春风十里
推荐理由:五里临江的江景房,价格是160,比较亲民
客栈地址:中城门洞左侧150米处
美 食 推 荐:
安家烧饼


做了50多年了的烧饼店,夹在两个大门面中间,很有复古的感觉,几十年来制作烧饼。
冰甜酒


老字号冰甜酒做了20多年这家就在安家烧饼对面,里面有未化的冰块,喝道嘴里简直就是爽翻。
卫校桥凉粉(下城门洞二中对面)


卫校桥凉粉,据说每天早上这周边的路基本都是堵的,就是因为她家凉粉太好吃每天都会造成拥堵。
黄糕粑(镇远古镇猪槽井旁下走10米左右)


黄糕粑古镇里面有家特别隐蔽的卖黄粑的,老阿姨从小就会做黄粑,几十年的老手艺了。叶子是粽粑叶,在猪槽井里洗干净,晾干。糯米蒸成糯米饭,用黄豆打成豆浆放在糯米饭里面,加白糖搅拌均匀,捏紧包好,头一天8点蒸到第二天6~7点,洗米洗粽粑叶打豆浆全部用猪槽井的井水,所以味道才会格外的糯,格外的香甜。
袁家嫩豆腐(镇远复兴巷)



上山吃咸,下山吃甜。用心做出来的嫩豆腐,是最值得坐下来静心品尝的美食,数年如一日的制作一锅豆腐。店内除了豆腐豆浆等豆制品之外,还有炸糍粑、炸蕨根,杨梅酒和酸汤鸡都是制作时间消耗比较长的,就为了入味。
最好是一勺白糖放在豆腐中,先吃一口甜的,在慢慢从中心往两边舀,逐渐吃到豆腐的清香。店内很小,是一对老夫妻经营的,大家去如果遇到客人多,要耐心些哦。因为店就在河边,如果是晚上来,还可以就着河景吃鱼,河风阵阵吹来,非常惬意。
老字号豆花鱼(下河坝街30米处)


即便是旅游淡季也依旧坚持新鲜食材,新鲜制作,给游客们最佳体验的一家烤鱼店,冬天来吃桌子下还有老板点的炉火烤起,非常舒服。烤鱼不油腻,肉质鲜嫩,很入味,豆花吸收了鱼的鲜美,相当下饭。
尝回头牛杂(镇远和平街福佳乐超市旁30米处)


店家老板因为大方、会说话、会做事,被无数第一次来的吃货好评五星,加上店内的牛杂新鲜,份量足,常常点个两人餐三个人都吃不完,所以生意一直很好,建议去的朋友想好自己肚子还能吃多少,酌情而定。酸汤牛肉是店里的明星产品。
古城苗家土菜(镇远城门洞右拐50米)



侗族老板开的一家店,非常有眼光的选在了河边,天气好的时候坐在河边喝喝茶,晒晒太阳简直就是人间美事。因为店位置在新大桥另一头,所以没有那么嘈杂。店里的消费属于中等,味道很不错,口味可和老板协商。店内主要是做土家家常菜为主,重点推荐酸汤鱼和蕨粑腊肉。
推 荐 特 产:
天印贡茶、镇远金堡米酒、镇远红酸汤、镇远桐油
如 何 到 达:
从贵阳乘火车至镇远,每天有约20班火车,车程约4小时,再从镇远汽车站或火车站出来坐1路公交县委、县政府站,票价2元。
06 犍为・罗城古镇
“古镇皆茶馆,难得赴清闲”

走进这里,你才知道,为什么它被称为“中国的诺亚方舟”。数百年来,罗城人生活在安逸的屋檐下,喝茶,打牌,听曲,谈天,掏耳朵,抽叶子烟,享尽了人世间的清福。

俯瞰全镇可以发现房屋的呈现形态犹如一艘航船,古镇主街的凉厅街又被叫做“船形街”。这条留存下来的老街,也至今保持着最原始的风貌,没有被过多的游客打扰。

把这些看似信手拈来的百态,过成了真真正正的生活,让人怎不羡慕。看多了繁华的楼宇,看惯了车如流水,人人心中都向往着这样一方净土,这个时候,如果沏一壶茶,再读一遍《边城》,是不是会更懂得那份心境。

景 点 推 荐:
被联合国教科文组织命名为“中国的诺亚方舟”,既是省级历史文化名镇,也是省级文物保护单位和国家4A级景区的罗城古镇,蜀地里一只古旧的船上,散居着汉、回、彝、蒙等七个民族,成为乐山市境内最大的散杂居少数民族集镇。先后有《海灯法师》《米》《强盗的女儿》《四川茶馆》《真情之继母》《记住乡愁》《人怕出名猪怕壮》等电影、电视剧组到此拍摄,吸引了海内外游客慕名而至,目睹山顶的一只船。
门票: 免费
营业时间: 全天开放
船 型 古 街

罗城有一个美称:“山顶一只船。”它被当地人叫做“船形街”,始建于明代崇桢元年(1628年),长度为209米,最宽处9.5米。它又名“凉亭街”,是罗城旧时代的中心,街道两侧木结构的长排旧瓦屋,临街一面的屋檐异常宽大,形成了叫做“凉厅子”的罕见长廊,其支撑点是一百多根立在六边体长条石柱上的旧圆木,冬遮雨雪,夏挡烈日,誉为“晴雨市场”。船形街的左侧倚傍着的是高巍巍、莽苍苍的铁山。
古戏台

全木结构,单檐歇山式屋顶。舞台正面五十米长的街面依山势分成五级,利于观看演出。戏楼为骑楼式的过街楼台,来往行人都须经过台下。戏台两侧是长廊形街房,内设店铺和市场。每逢大的节日,古戏台上就会有演出,人山人海的场景令人难忘。
三宫五庙

镇上共建有三宫(南华宫、寿福宫、文昌宫)、五庙(禹王庙、肖公庙、川主庙、灵官庙、星鑫庙),此外还有四座小庙(鲁班庙、大福鼎庙、东岳庙、罗成庙)。外地客商还建有广西、广东、湖北、江西、四川五大会馆。由于历史的原因,所有的庙宇和会馆已全部毁损,只留下遗址可寻。其中硕果仅存的是南华宫门前的一对硕大、精巧的石狮。
铁山寨

铁山寨位于四川省犍为县罗城镇幸福村二组之铁山山顶上。距罗城镇7公里。其中最高峰山顶海拔723.9米,为犍为县境内的第二高峰。清朝年间,中国有名的农民起义——“李兰起义”(李永和、兰朝鼎)占领铁山后,为了加强防守,便在山头东、南、西最为险要之处修筑了三座石砌寨门,形成了一座易守难攻的山寨。
铁山湖

古镇北郊有铁山湖,座落在铁山脚下,全长5.7千米,水库蓄水量为2890万立方米,是乐山第一大水库工程。湖内已建有数处亭台楼阁,被湖水环抱有十多个岛屿,岛上竹木葱郁,山花遍野,鸟语花香,秀色宜人。果木成林,金秋柑桔鲜红满山,翠竹、绿树垂于湖中。湖区常年云雾缭绕,景色秀丽迷人,泛舟湖上,水天一色,烟波浩渺,让人留连忘返。
住 宿 推 荐:
罗城宾馆
地址:罗城古镇上
价格:80元/间
美 食 推 荐:
罗城羊肉汤

罗城山上盛产山羊,其味鲜而不骚,四季皆宜。汤色如奶,喝汤加点盐即可,汤未入口香已入鼻。
罗城豆腐脑

有鸡汤豆腐脑、牛肉豆腐脑和脆绍豆腐脑等几种,都是5块钱一碗。
“三大炮”

是用糯米制作的名小食,制作时要发出象枪弹似的三下响声,引得围观者都想品尝一下这一怪食。此技现失传。
咔咔咡

在罗城古镇随处可见,这是一种以油炸豆腐为主要食材、白萝卜丝为辅料制作的美味小吃,特点是酸、甜、辣、香。吃时,需把整个“咔咔儿”浸入乐山特产调料“甜子”中,然后饱浸“甜子”的整个“咔咔儿”一口全吃下,那经“甜子”化学反应渲染后的酸、辣、甜,顿时充盈着整个口腔,让人回味无穷!形状真是好看,名字也好听。价格也不贵,5元钱一个。
熨斗粑

用发酵后的米浆拌入食糖等原料,装入小巧圆柱形铁盒内,炉火翻烤成表面金黄色,形如古熨斗,里面软糯,吃起来香甜可口。
推 荐 特 产:
干牛肉

古镇是回民聚居地,清真牛肉系列食品的制作已有两百多年的历史,其中如干巴牛肉、金丝牛肉、灯影牛肉、麻辣牛肉等,久负盛名,做工精细,色、香、味俱全,回味无穷,深受顾客喜爱,远销省内外。
如 何 到 达:
罗城镇地处四川省犍为县东北部山区,距县城31公里,距乐山市60公里。公路交通方便,东邻荣县经自贡上成渝高速公路,西面经县城与213国道汇合,北至乐山可直达成都。
可从成都乘去乐山的车,再转车去罗城。车辆班次最多的车站是新南门的旅游汽车客运中心。从成都乘车只需1.5小时就可到达乐山,路况极佳。然后从乐山转车去罗城,1小时即到。此外,成都南郊的石羊场客运站,每天有数班发往罗城的客车。

一眼看不到尽头的青石板路,走上去发出“咯噔咯噔”的声响,是连接古镇与你的无形纽带,带着你徜徉于每一个说不完的故事里。
如果你看久了鳞次栉比的城市高楼听厌了城市的喧嚣不如去古镇看看,漫步于幽静古镇小巷,采撷一缕阳光品茗、一杯清茶沉浸在温柔的老时光中来吧!
图片来源于网络,侵删
毛主席《卜算子 · 咏梅》
毛主席 《满江红 .和郭沫若同志》
毛主席《沁园春 . 雪》
毛主席《七律 . 洪都》
毛主席 《清平乐 .蒋桂战争》
毛主席《沁园春 . 长沙》